What is the difference between Composite and Porcelain Veneers?

Dr.-B.-Lipovetskiy (1)

The author of the article

Boris Lipovetskiy, DMD, 31 years experience

  1. Dental Wellness Center
  2. /
  3. Blog
  4. /
  5. What is the difference between Composite and Porcelain Veneers?

Getting veneers for teeth is a safe and painless way to achieve a healthy and beautiful smile. Which dental plates are better: ceramic or composite? Dentist Boris Lipovetsky will explain the differences between ceramic and composite, and in which cases their installation is recommended. The article includes a comparison table of composite and ceramic characteristics.

Porcelain Veneers

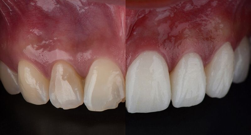
Ceramic (porcelain) dental veneers are the most popular method of tooth restoration. They have natural light transmittance, high strength, and mimic the micro-relief of natural teeth. 3D modeling allows for evaluating and adjusting the restoration outcome before installing porcelain veneers.

Porcelain veneers for front teeth
Important!

Porcelain veneers crafted in a dental lab based on individual impressions. The perfectly smooth surface of ceramics prevents dental plaque formation. Our dentist in Fort Lauderdale installs porcelain veneers & ceramic E-max. These are hypoallergenic materials with superior aesthetics, resistant to chewing loads.

Advantages and Disadvantages of Porcelain Veneers
Pros
  • Highly natural-looking results
  • Do not change color due to food dyes (coffee, red wine, berries)
  • With proper dental care, they can last for over 10 years
  • The absence of microscopic gaps in the ceramic ensures a tight fit to the tooth and prevents the development of cavities underneath the veneer
Cons
  • Requires 2-3 dentist visits. However, overall, the patient spends less time in the dentist's chair compared to installing composite veneers
  • Porcelain is ready within 1-2 weeks. During this time, the patient receives a temporary restoration
  • The cost of ceramic veneers is higher than composite plates for teeth
Boris Lipovetskiy

Over 31 years in dentistry

Doctor's Opinion

Ceramic veneers can hide any aesthetic defects in the smile zone

«This includes persistent enamel yellowing (tetracycline teeth), teeth discoloration from tobacco smoke and post nerve extraction, white spots with fluorosis, noticeable fillings. Ceramic plates strengthen teeth in case of chips and cracks, mask the wedge defect, and large interdental gaps. To achieve the perfect smile, I recommend getting porcelain veneers on all front teeth.»

Composite Veneers

Essentially, a composite veneer is a filling since it's installed directly in the oral cavity. The dentist selects the color of the composite material and applies it to the tooth in layers. The photopolymer composite hardens under the action of a UV lamp. The restoration of one tooth takes about 1 hour. Composite veneers can be installed in one visit simultaneously with caries treatment.

Composite veneers install
Important!

Placing composite veneers is similar to detailed jewelry work. To achieve the most natural result, consult experienced dentist at ADW dental office.

Advantages and Disadvantages of Composite Veneers
Pros
  • Tooth restoration occurs in a single visit
  • Minimal enamel preparation
  • Composite veneers are cheaper than ceramic ones
  • If damaged, the composite can be repaired. In such cases, porcelain veneers need to be completely replaced
Cons
  • Composite darkens when consuming food dyes and is sensitive to alcohol and cold/hot food
  • Quickly lose their shine. Every 3 months, additional polishing is required
  • The composite is less durable compared to ceramic, prone to wear, and chipping with even a slight excess of chewing load. The service life is up to 5 years
  • Over time, the porous composite shrinks. Due to its not snug fit, plaque may accumulate around it
Boris Lipovetskiy

Over 31 years in dentistry

Doctor's Opinion

Composite veneers are inferior to ceramic in terms of strength and aesthetic indicators

«Therefore, I recommend placing  them on a single front tooth only in cases of urgent need for quick restoration or a limited budget. Composite veneers are used only for minor adjustments in tooth shape/color.»

Comparison of Composite and Porcelain Veneers

Indicators Composite Veneers Porcelain Veneers
Strength50-75 MPa, low resistance to high chewing loadsOver 400 MPa, stronger than tooth enamel
Installation processIn 2-3 visitsIn a single visit
Need for tooth preparationDone under local anesthesia. The depth of enamel preparation depends on the thickness of the veneerIn most cases, not needed. Directly in the defect zone of the tooth, enamel grinding down by fractions of a millimeter is permissible
Color and structureMimic the enamel's micro-relief and transparency, fully imitating natural teethRealistic aesthetics, though not as natural
Lifespan3-5 yearsUp to 15 years
Resistance to stainingQuickly lose their shine and yellow due to food dyes and tobacco smokeDo not absorb food dyes. Maintain natural shine and whiteness for a long time

Before installing veneers of any type, it is essential to remove plaque and dental calculus, whiten the teeth, treat caries painlessly with a laser, and address gum inflammation and bruxism. In terms of aesthetics and strength, porcelain veneers are the preferred choice. When choosing the type of restoration, we also consider other individual parameters: the severity of the dental defect, the enamel's thickness and strength, and the patient's wishes. After installing, you will receive a unique oral care program to ensure the restoration lasts as long as possible.