What is Periodontal (Gum) Disease?

Dr.-B.-Lipovetskiy (1)

The author of the article

Boris Lipovetskiy, DMD, 31 years experience

Many people think bleeding gums or bad breath are minor issues — but they’re often signs of something more serious: gum disease.

Gum disease (also called periodontal disease) is a long-term infection that destroys the tissues holding your teeth in place. It’s one of the most common reasons adults lose teeth and can quietly affect your overall health.

When ignored, gum infection spreads deeper: from simple inflammation (gingivitis) to serious bone and ligament loss (periodontitis). That’s why early diagnosis and treatment matter.

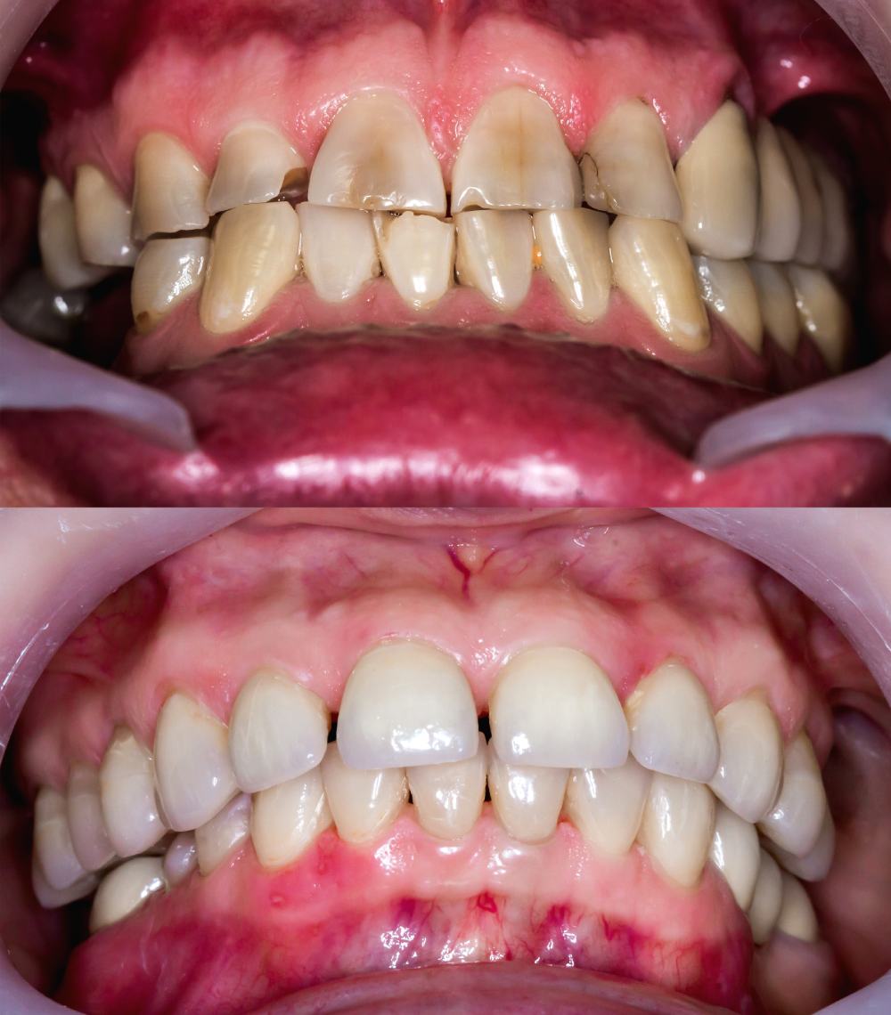
Our patient came to us with swollen, bleeding gums and growing bone loss. Her bite was also causing trauma to the teeth and gums.

We:

Cleared deep gum infection

Regenerated lost bone tissue

Protected her bite and stabilized the disease

Today, her gums are healthy, pink, and firm again — with no bleeding or loose teeth.

Want the same result?

Book a consultation with our periodontist and restore your smile!

What is gum disease?

Gum disease is the #1 cause of adult tooth loss.

It all begins with plaque — a soft, sticky film made of bacteria. When plaque isn’t removed in time, it hardens into tartar. Tartar irritates the gums, causing gingivitis (early gum inflammation).

If untreated, gingivitis can progress into periodontitis. At this stage, the infection breaks down bone and connective tissue, loosening teeth and creating gum pockets where bacteria hide.

But that’s not the only cause:

Improper bite alignment (traumatic occlusion)

Nighttime teeth grinding

Health issues like diabetes or immune disorders

Smoking or hormonal changes

These factors speed up gum disease even if oral hygiene seems good.

Why Healthy Gums Matter

Your gums seal off and protect the roots of your teeth.

When they break down, infection spreads — affecting not just your mouth, but your whole body. Gum disease has been linked to diabetes, heart disease, and autoimmune flare-ups.

Don’t ignore bleeding gums or bad breath — these are warning signs your body is giving you.

Boris Lipovetskiy

Over 31 years in dentistry

How Common Is Gum Disease?

Gum disease often develops silently, especially in its early stages.

47% of adults have some form of gum infection.

Among smokers (cigarettes, vapes, IQOS), the rate jumps to 64%.

Smoking increases risk dramatically — even if you brush regularly.

What to Do

Book a professional cleaning and full-mouth exam.

If you’re over 30 or a smoker, ask for a periodontal consultation. Early advice prevents late-stage problems.

Protect your smile — schedule a preventive visit today.

Symptoms of Gum Inflammation

Early Signs

Red, swollen gums

Bleeding when brushing or flossing

Bad breath or sour taste

Gum recession

Advanced Symptoms

Loose or shifting teeth

Deep gum pockets

Bone loss (visible on X-rays)

Pus or severe pain

red bleeding gums and health gums

If you notice any of these symptoms, don’t wait — get your gum health checked now.
Gum disease doesn’t heal on its own. Without treatment, infection can lead to tooth loss and affect your general health.

Boris Lipovetskiy

Over 31 years in dentistry

Don’t Wait—Check Your Gum Health Now

Periodontal disease often starts silently.

Bleeding gums, bad breath, loose teeth, or receding gums usually mean the infection is already in a moderate or advanced stage. Without treatment, it can lead to tooth loss and spread of bacteria throughout the body.

Frontal teeth before and after

Book a visit with our periodontist today—early diagnosis and therapy protect your teeth and overall health.

Why Does Gum Disease Develop?

When plaque builds up, it irritates the gums. But that’s only part of the story. Many people don’t realize their bite alignment, grinding habits, or immune conditions like diabetes make their gums even more vulnerable. It’s not just about brushing — it’s about looking at the whole picture. The root cause is plaque buildup on teeth and along the gumline, but several factors can accelerate or worsen the infection:

Poor oral hygiene

Smoking or heavy alcohol use

Ill‑fitting crowns, bridges, or fillings

Hormonal changes (pregnancy, menopause)

Uncontrolled systemic conditions (e.g., diabetes)

Vitamin C deficiency

Control these risks and plaque won’t have a chance to harm your gums.

Protect your smile with expert care

Schedule a professional plaque removal to prevent gum disease and keep your teeth healthy and bright.

Types of Gum Disease

Recognizing the symptoms early is key to preventing tooth loss.

Gingivitis

Gingivitis is the earliest and most common stage of gum disease. It affects the soft tissue around the teeth, causing inflammation without yet damaging the bone.

Symptoms: – bleeding gums, redness, swelling, bad breath.

Gingivitis Is Reversible

At this stage, no bone has been lost yet. With proper cleaning and professional oral care, gum health can be fully restored. Don’t ignore early signs — professional care now prevents costly treatment later.

Periodontitis

Periodontitis is an advanced form of gum disease. It damages the bone and connective tissue that hold your teeth in place.

Symptoms – include gum recession, deep pockets, loose or shifting teeth, persistent inflammation.

Boris Lipovetskiy

Over 31 years in dentistry

Doctor's Opinion

Once gum tissue and bone are lost, they can’t fully grow back. Deep cleaning (scaling and root planing) stops the infection and protects what’s left. Early intervention is critical to avoid surgery or tooth extraction.

If your gums bleed — don’t wait. Gum disease doesn’t heal on its own. Early treatment prevents bone loss and saves your smile.

Call now to schedule a periodontal consultation

Possible Complications of Periodontal Disease

Tooth loss — Supporting ligaments and bone erode; teeth loosen and may fall out.

Chronic infections — Bacteria from deep gum pockets can spread, causing sore throats, sinus discomfort, bad breath.

Diabetes complications — Gum inflammation disrupts blood sugar control, accelerating damage.

Autoimmune flare-ups — Chronic gum infection can trigger or worsen conditions like arthritis or lupus.

This is why treating gum disease early is so important for both dental and whole-body health.

How Is Gum Disease Diagnosed?

To create the right treatment plan, a periodontist must confirm the type, severity, and speed of progression. Here’s what the visit looks like:

A periodontist evaluates:

1. Visual Exam + Health History

We check for redness, bleeding, recession, and plaque buildup.

2. Gum Pocket Probing

Normal: 1–3 mm.
Pockets >4 mm suggest inflammation or bone loss.

3. Dental X-Rays

Quick, safe images showing bone height and hidden infections.

4. 3D Imaging (CBCT)

Full 3D scans in minutes. Accurate, painless planning.

the dentist examines the patient's gums

Get a personalized treatment plan from your first visit.

Gum Disease Treatment

The goal:

Stop infection

Restore healthy gum tissue

Prevent further bone loss

We use the latest technology for comfortable, precise treatment:

Laser gum therapy

Ozone gum therapy

Iodine rinses and gels

PerioTrace and Periogel to clear infection and help close gum pockets

Orthotic night guards to prevent grinding, protect against bite trauma, improve sleep and breathing

Sleep appliances to reduce snoring, improve oxygen flow, and protect your gums long-term

Other Treatment Methods:

Medications — Antibiotic gels, rinses, or pills.

Professional teeth cleaning — Routine plaque and tartar removal.

Scaling — Deep cleaning below the gumline.

Surgical treatment — Removing inflamed tissue if needed.

Bone grafting / PRF / PRP — Restoring lost bone and helping tissues regenerate.

Each treatment is customized to fit your specific needs.

How Can You Keep Your Gums Healthy?

Daily habits:

  • Brush 2× daily with a soft brush
  • Clean your tongue
  • Rinse after meals (herbal or iodine-based rinse)
  • Floss or use an irrigator
daily-habits

Regular care:

  • Cleanings every 3–6 months
  • Regular exams
  • Balanced diet: Vitamins A, C, D, E, calcium, fiber
  • Avoid smoking
regular-care
Boris Lipovetskiy

Over 31 years in dentistry

Your smile is worth saving. Let’s protect it together.

Once gum tissue and bone are lost, they can’t fully grow back. Deep cleaning (scaling and root planing) stops the infection and protects what’s left. Early intervention is critical to avoid surgery or tooth extraction.

If your gums bleed — don’t wait. Gum disease doesn’t heal on its own. Early treatment prevents bone loss and saves your smile.

Book your consultation today and reclaim your gum health.

FAQ

Is periodontal disease contagious?

Not exactly — but bacteria that cause it can spread through saliva (sharing utensils, kissing).

Can children develop gum disease?

Yes, especially with braces or poor hygiene.
 

Can I save my teeth from gum disease?

Yes. With timely care, teeth can be stabilized and bone loss prevented.

Can gum inflammation be treated at home?

Mild cases — yes. Advanced cases — no. If your gums bleed regularly, professional care is required.

Can gum disease be reversed?

Early-stage gingivitis — yes. Advanced periodontitis — no, but treatment controls it.

How does gum disease affect dental implants?

It increases the risk of implant failure. Healthy gums are essential for implant success.