The author of the article
Boris Lipovetskiy, DMD, 31 years experience
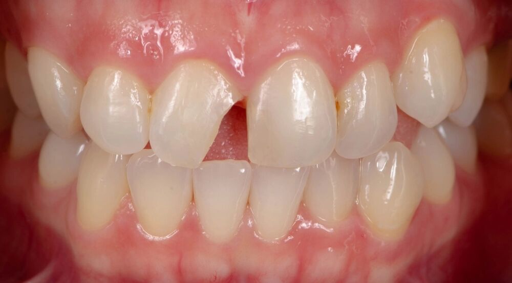
Unfortunately, even a small tooth crack can be just as dangerous as an untreated cavity, and may even lead to tooth loss. According to statistics, 9.7% of patients aged 30 to 60 experience this issue. Additionally, teeth with fillings are more prone to cracks and chips than healthy, untreated teeth.
Dr. Boris Lipovetskiy is a cosmetic dentist that utilizes over five treatment techniques when dealing with a cracked tooth, depending on the severity of the damage.
Save Your Chipped Tooth: Schedule a Complimentary Consultation with an Experienced Cosmetic Dentist
If your tooth is cracked, we offer urgent treatment options. Solutions may include enamel reshaping, fillings, veneers, crowns, or even implants. Each method aims to restore both the functionality and aesthetic appeal of your teeth.
Book a complimentary consultation, and we’ll find the best treatment plan for you!
What Is a Cracked Tooth?
A crack is an incomplete fracture of the tooth crown or root. The defect can be limited to the surface enamel layers, extend to the enamel-dentin junction, or pass through the enamel, dentin, and even all tooth structures. Acute or prolonged trauma can significantly impact dental tissues.
Cracks may occur when biting or chewing hard foods, due to injury, or from teeth grinding (bruxism) during sleep.
Discover how we successfully treat these dental issues.
Symptoms of a Cracked Tooth
There are several telltale signs that indicate a cracked tooth:
Why Even The Smallest Cracks Are Dangerous
A minor crack can gradually worsen over time. When chewing, molars and premolars endure high pressure, causing the fracture to deepen. Early treatment is essential to prevent severe damage.
Book a complimentary consultation, and we’ll find the most gentle and effective treatment for you.
What Can Cause Your Teeth to Crack?
Several factors can compromise the integrity of your teeth, including:
How Can You Tell That You Have a Cracked Tooth?
"Oftentimes, you’ll be able to feel the crack in your tooth with your tongue, or it’ll be visible in the mirror. You might experience:
- Pain when biting, which disappears when pressure is released.
- Sensitivity to hot, cold, sweet, or acidic foods.
- Discoloration of the enamel or gum inflammation around the affected tooth.
If you notice any of these symptoms, schedule a free consultation with our cosmetic dentist to prevent further damage and restore your smile."
Types of Tooth Cracks
The American Dental Association (ADA) identifies several types of cracked tooth syndrome:
Classification of Cracks by Size and Visibility
What to Do If You Notice a Tooth Crack?
Stay calm! Follow these steps:
Diagnosing a Cracked Tooth
To determine the location, size, and depth of a tooth crack, the dentist will conduct a comprehensive examination, which includes:
1. Medical History Review
The dentist will ask about:
2. Visual Examination & Percussion Test
3. Crack Detection with Special Indicators
4. 3D Cone Beam CT Scan (CBCT)
Why Accurate Diagnosis Matters
A thorough examination not only confirms the presence of a crack but also helps determine why the tooth cracked in the first place. Identifying the cause is crucial to ensure that any restoration (filling, crown, or veneer) is protected from future fractures.
Treatment Methods for a Cracked Tooth
At our clinic, we use several advanced techniques to save cracked teeth. In most cases, treatment requires only 1 or 2 visits.
1. Enamel Smoothing (Minor Crack Repair)
This is the simplest treatment that doesn’t require anesthesia. It’s used for small surface cracks limited to the enamel, such as tiny fractures or microchips on the edge of front teeth. After polishing, a remineralizing gel with essential minerals is applied to strengthen the enamel.
2. Dental Filling (Composite Restoration)
If the crack extends deeper into the enamel or reaches the dentin, composite bonding is required.
3. Veneers (For Front Teeth Cracks)
For cracks in front teeth, veneers provide both protection and aesthetics.
4. Dental Crowns (For Severely Damaged Teeth)
In cases where a tooth with an existing filling develops a crack, a crown may be necessary.
5. Dental Implant (For Root Fractures)
If the tooth root is cracked, restorative treatments won’t work. A filling or crown cannot stabilize a fractured root, which can cause persistent pain and inflammation.
Important! Don’t Delay Treatment
If you notice a crack, schedule a consultation immediately. Delaying treatment can worsen the crack, increasing the risk of tooth loss.
Prevention of Tooth Cracks
To maintain strong and healthy teeth, follow these essential preventive measures:
1. Maintain Excellent Oral Hygiene
2. Visit Your Dentist Regularly
3. Don't Delay Dental Prosthetics
4. Protect Teeth from Sports Injuries
By following these steps, you can prevent cracked teeth and maintain strong, healthy enamel for years to come.
FAQ
Only if it’s a minor surface crack (microcrack) limited to the enamel. In all other cases, the crack must be treated with a filling, veneer, or crown to prevent further damage.
If you notice a crack, don’t delay your visit to the dentist. Over time, the crack will worsen, leading to a larger fracture or complete breakage of the tooth.
Not necessarily. The treatment depends on the size and location of the crack:
- If only the crown is affected, the tooth can usually be restored.
- If the root is fractured, extraction is necessary since no restoration can stabilize it.
Yes! It’s important to remove plaque to prevent gum inflammation. However, be gentle, especially if tooth fragments feel loose or cause pain.
No! For minor cracks, simple smoothing (enamel reshaping) is painless. For deeper cracks, local anesthesia ensures a completely pain-free procedure. Modern anesthetics make dental treatments comfortable and stress-free.


